歯が欠けたり、折れたりするにはいろいろな原因があります。
特に前歯に多く起こり、見た目も悪くなってしまいますのですぐに受診しましょう。
スポーツをしている時や日常生活で転んだり、固いものに歯をぶつけたり
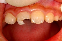
虫歯が大きくて歯が欠ける場合があります。
歯の内側の部分に虫歯が広がり、外側の部分がもろくなってしまうこと で、欠けます。
歯が欠けるということは、かなり虫歯も大きくなっていることが考えら れますので、早急に治療する必要があります。
ひどくなってしますと、神経の処置を行わなければなりません。
