歯茎がはれていたり、痛みがあったりしませんか?
これらはなんらかの病気で起こっていることがほとんどです。
体の異常のサインをそのままにせず、必ず原因を見つけ、治療しましょう。
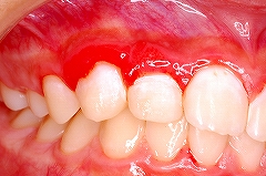
歯周病(歯肉炎を含む)による歯茎の異常は、歯磨きをしたり、食事をし
歯茎の中に膿がたまることにより歯茎がはれ、中の圧力が上がることで、 歯茎が痛みます。
原因としては、歯の中で細菌が増殖し、根っこの先に膿がたまっているこ とが考えられます。
その他にも様々な原因で起こります。
このまま放置しておくと、どんどんはれが大きくなり、痛みが強くなりま す。また、最悪は入院して治療を受ける必要がありますので、早急に受診 するようにしてください。
口内炎ができることで、その部分に食べ物が当たったり、冷たいものや熱いものの刺激でジーンと痛みがでます。
原因としては、ビタミンBの不足や歯茎に傷がついたりしたことが考えられます。
その他にも口内炎ができやすい原因は様々あります。
そのままにしておかず、原因を見つけて治療しましょう。
当医院では様々な口内炎のお薬を用意しております。
ぜひご相談ください。

院長のYouTube随時更新中です!!
スタッフブログも更新中です!!
症例写真など情報満載!!
P&G様からのご依頼で電動歯ブラシOralBを動画紹介しております。
short動画はこちら
世田谷区ドクターズにインタビュー記事が載りました。
世田谷代田デンタルクリニックが、
ドクターズファイルに取材を受けました。
当院で使用しているインプラントメーカーについてはこちらです。


〒155-0033
東京都世田谷区代田2-20-5-1F
TEL 03-5787-8241
FAX 03-5787-8241